Наши работы

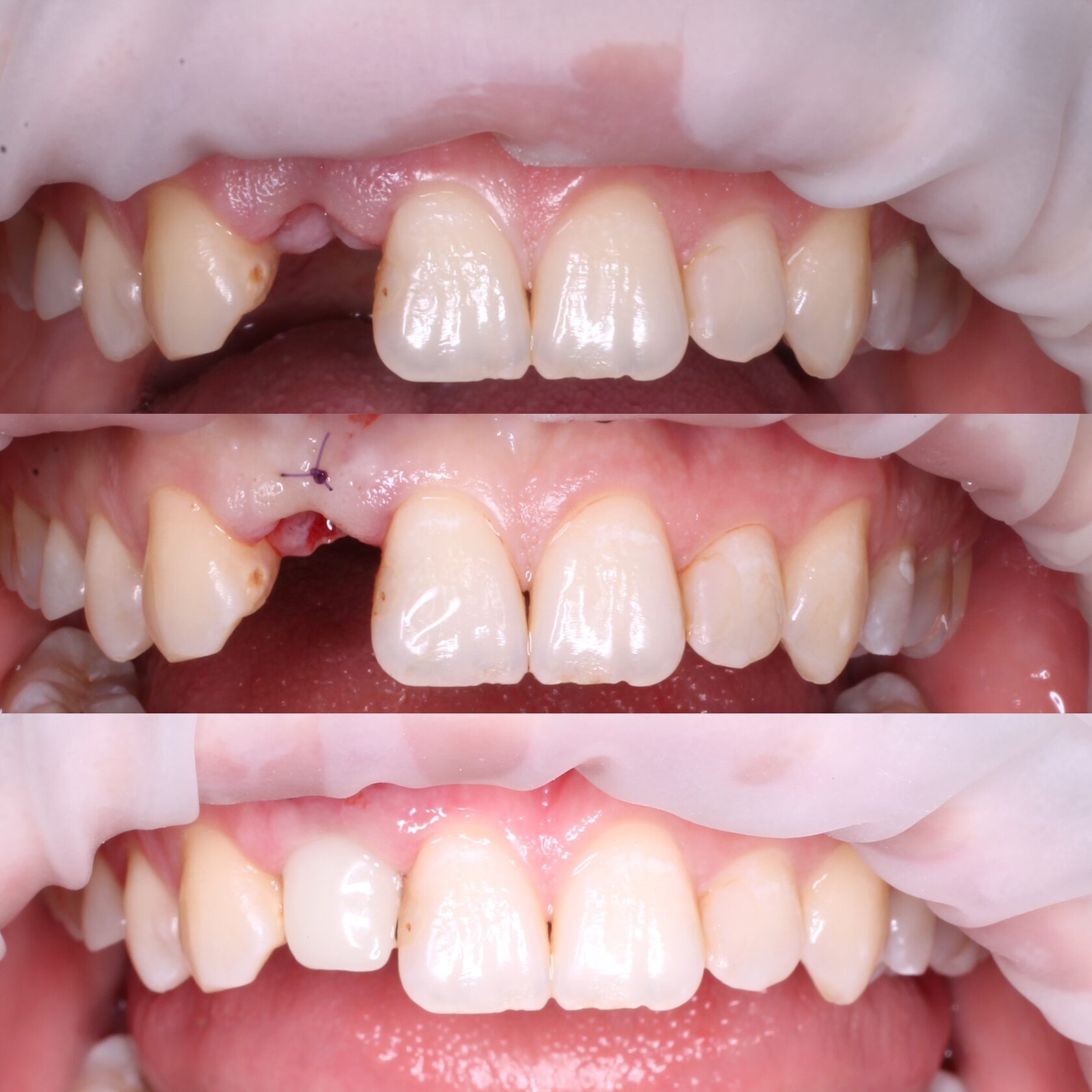
Безметалловая коронка на имплантате и на зубе
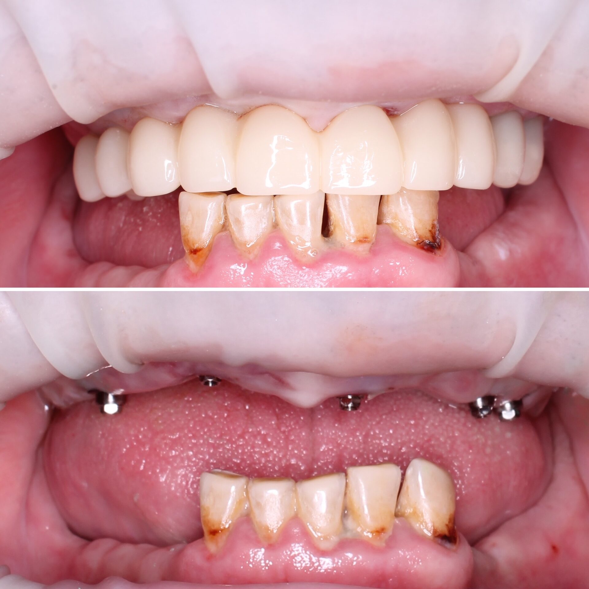
Тотальная реабилитация на имплантатах с фикасцией временного несъемного протеза
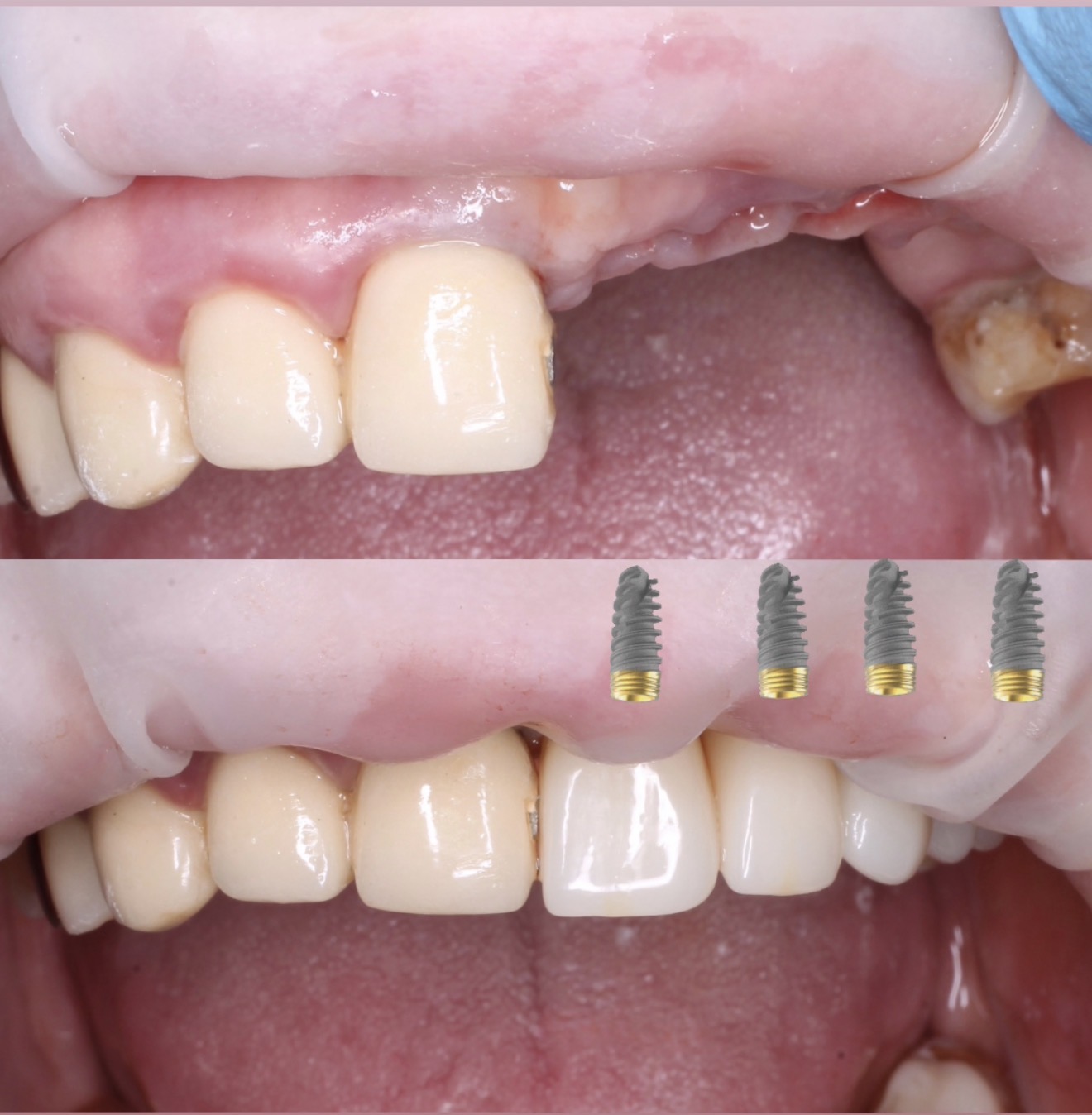
ALL-ON-X
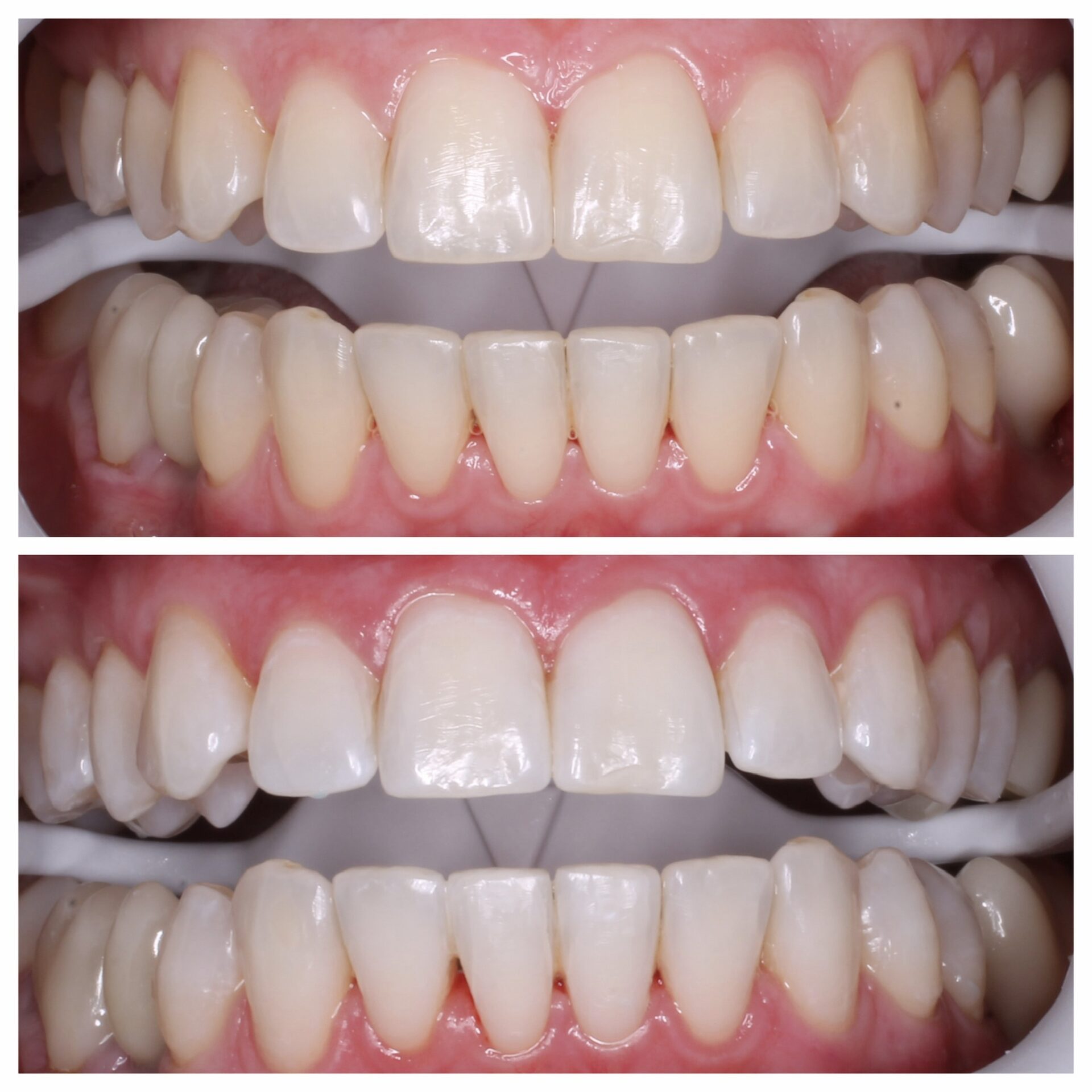
Виниры на своих зубах и коронки на имплантатах
Виниры на своих зубах и керамические коронки на имплантатах
Виниры на своих зубах,безметалловые коронки на имплантате
Лечение корневых каналов под микроскопом
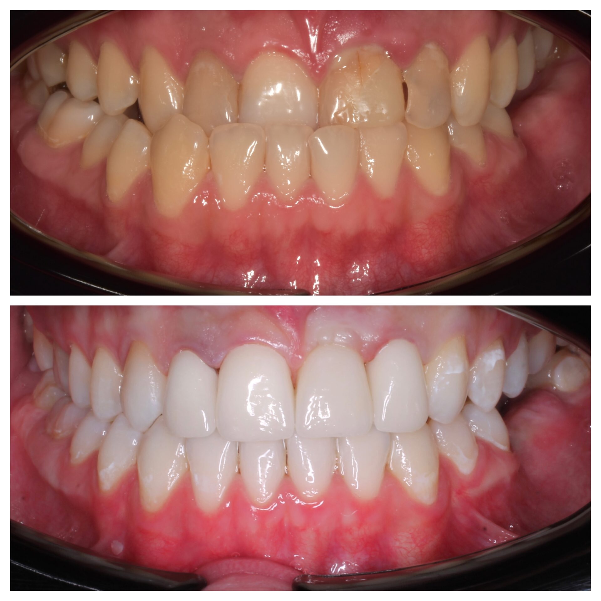
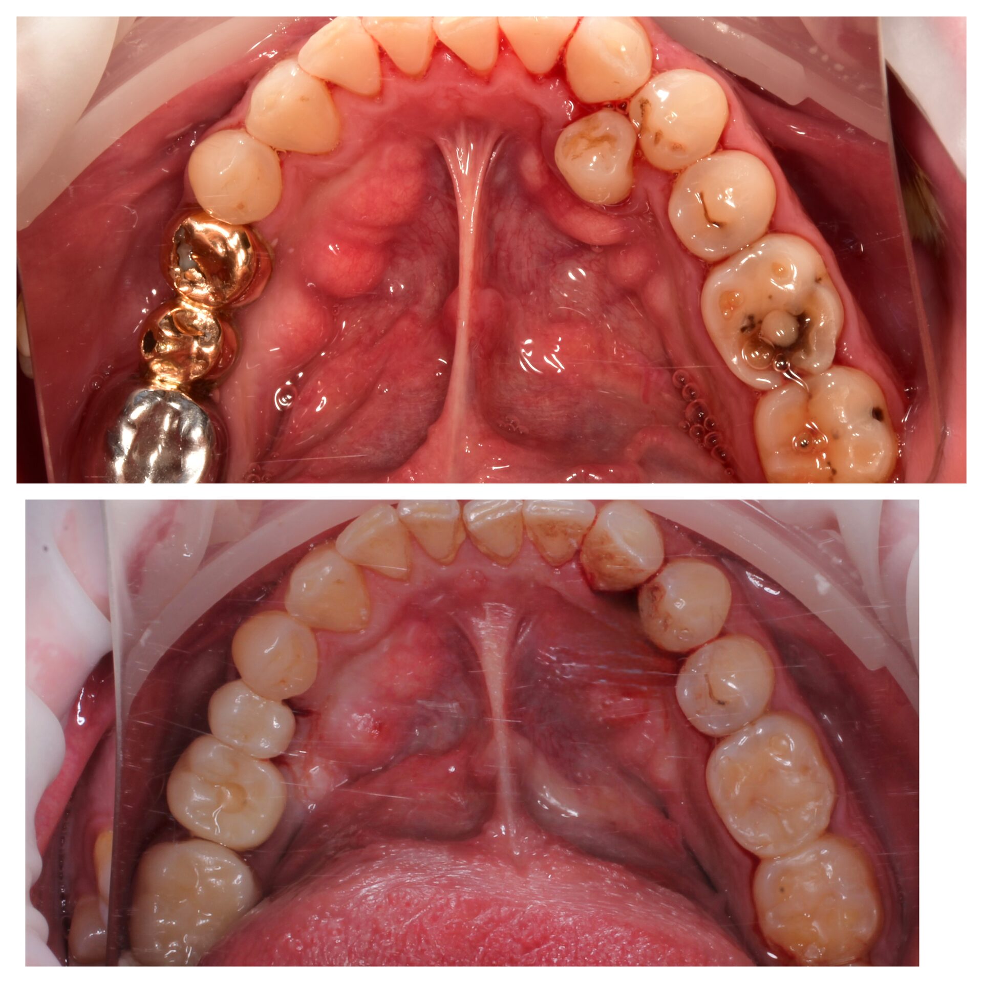
Керамические коронки на имплантате и на своих зубах
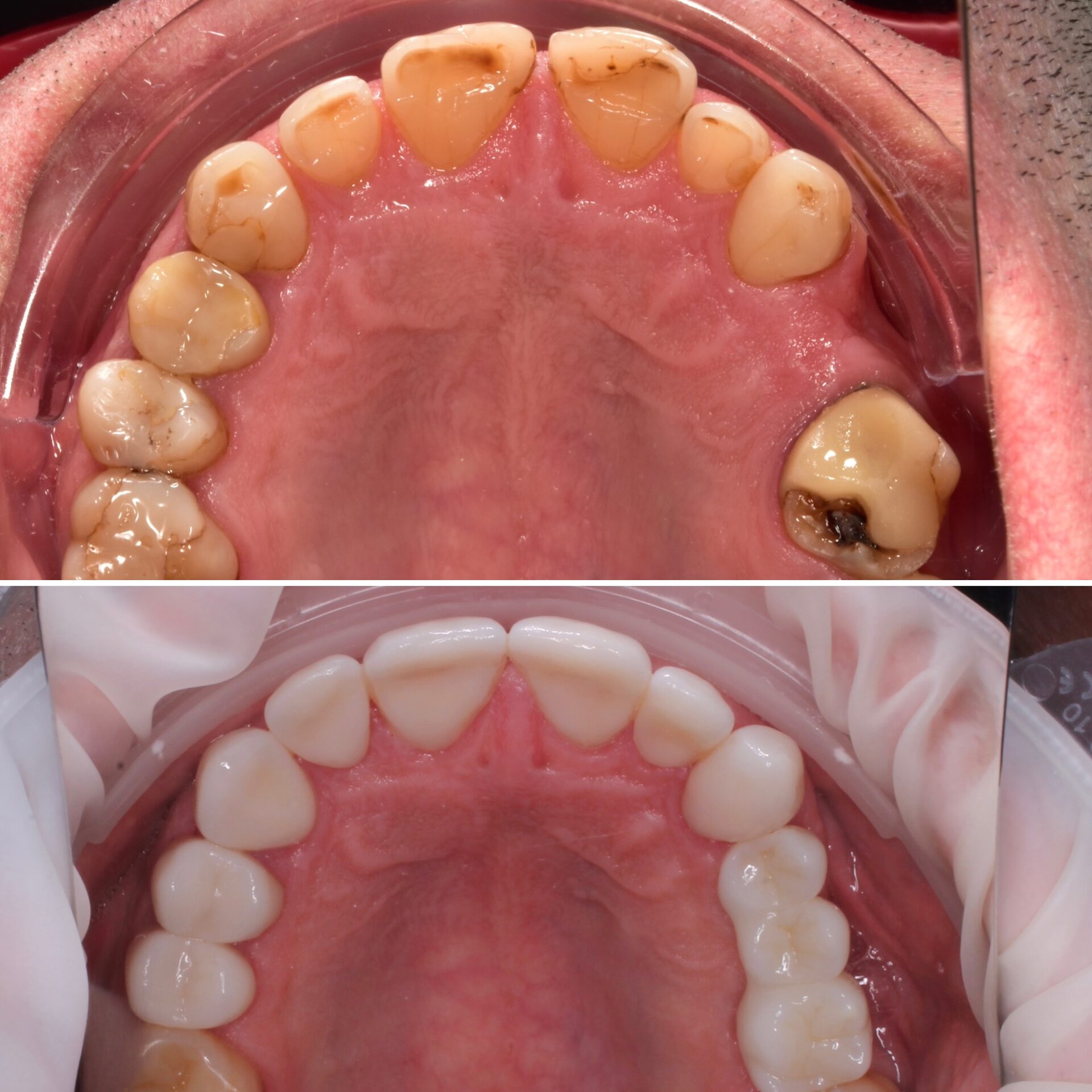
Лечение кариеса под микроскопом
Керамические коронки на имплантате
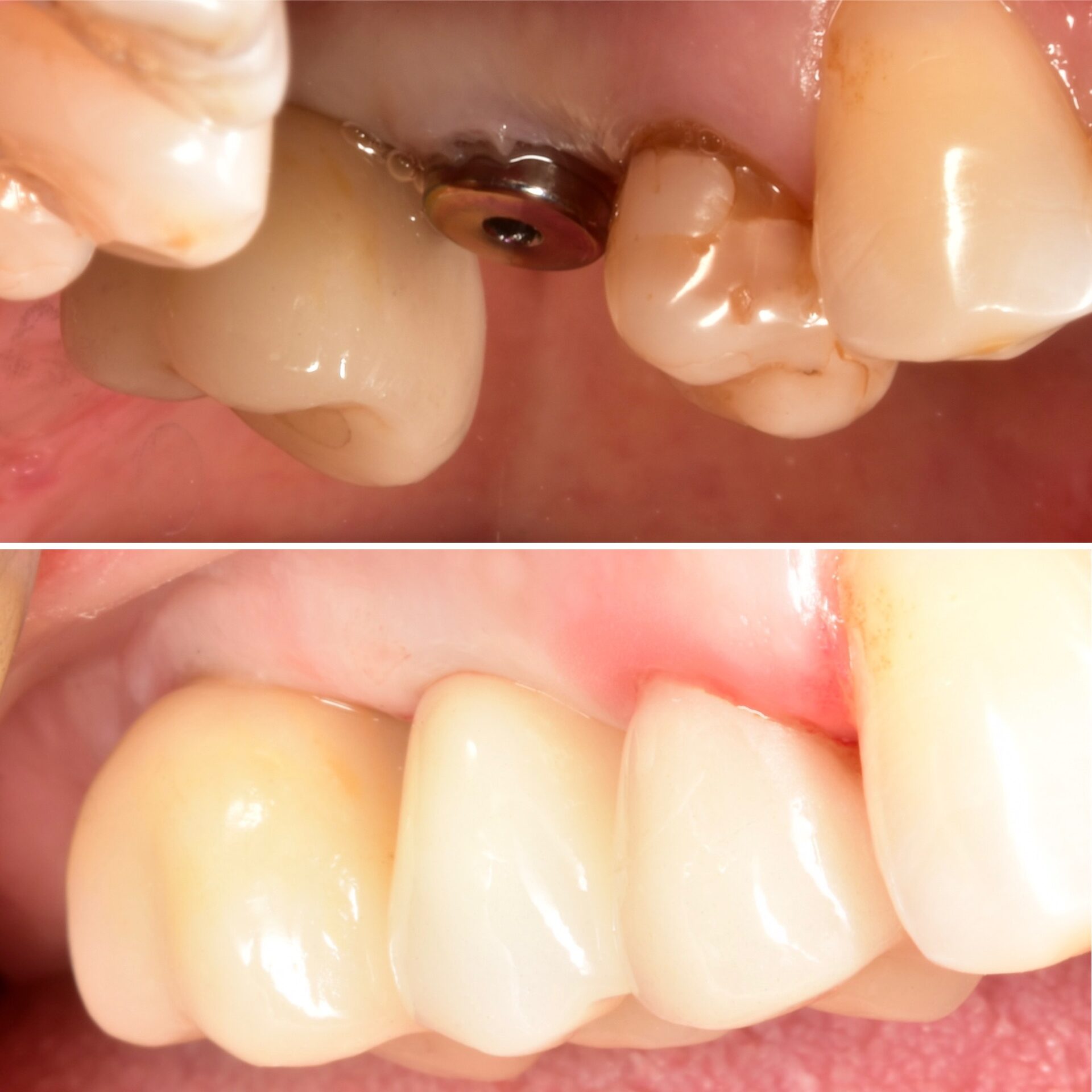
Керамическая коронка на имплантате
Имплантация зубов с хирургическим шаблоном
Тотальная реабилитация на 5 имплантатах с фиксацией постоянного керамического протеза на титановой балке
ALL-ON-X
Все товары
г. Чебоксары ул. Калинина 86
Телефон: +7905 343 93 33
Почта: a-stom21@mail.ru
ИМЕЮТСЯ ПРОТИВОПОКАЗАНИЯ, НЕОБХОДИМА КОНСУЛЬТАЦИЯ СПЕЦИАЛИСТА

Обращаем Ваше внимание на то, что данный интернет-сайт носит исключительно информационный характер и ни при каких условиях не является публичной офертой. Для получения подробной информации о стоимости, наименовании и сроках оказания услуг, пожалуйста, обращайтесь по контактным телефонам. Конкретный перечень услуг и порядок их предоставления определяется в договоре оказания услуг, оформляемым между клиникой и пациентом

Made on
Tilda